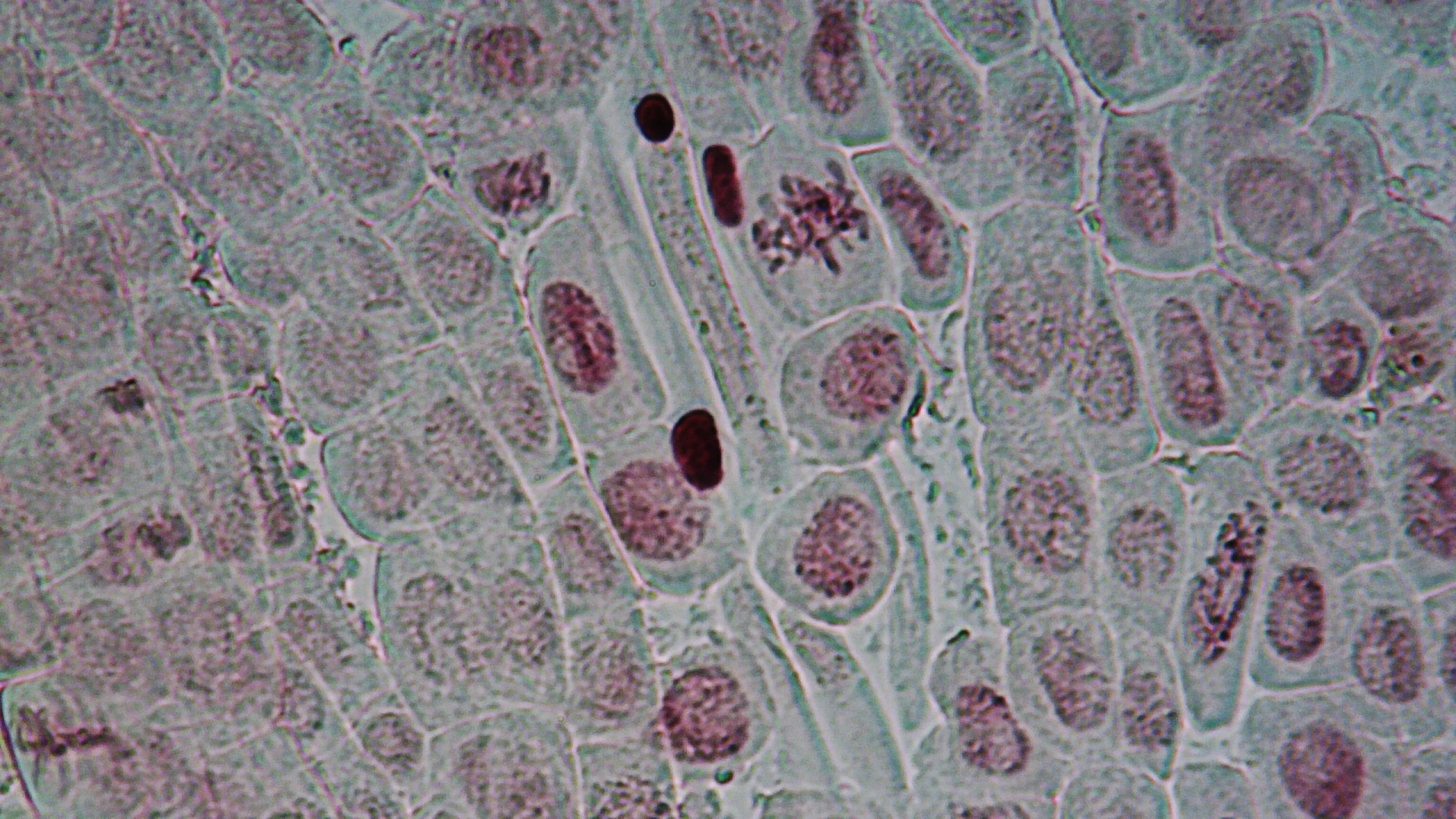
誰もが成功するタマネギの種子を用いた細胞分裂の観察
元奈中理研究部長 理科教材研究家嘉戸英次先生にご提供いただいた資料です。
誰もが成功するタマネギの種子を用いた細胞分裂の観察
図版資料(ZIP)
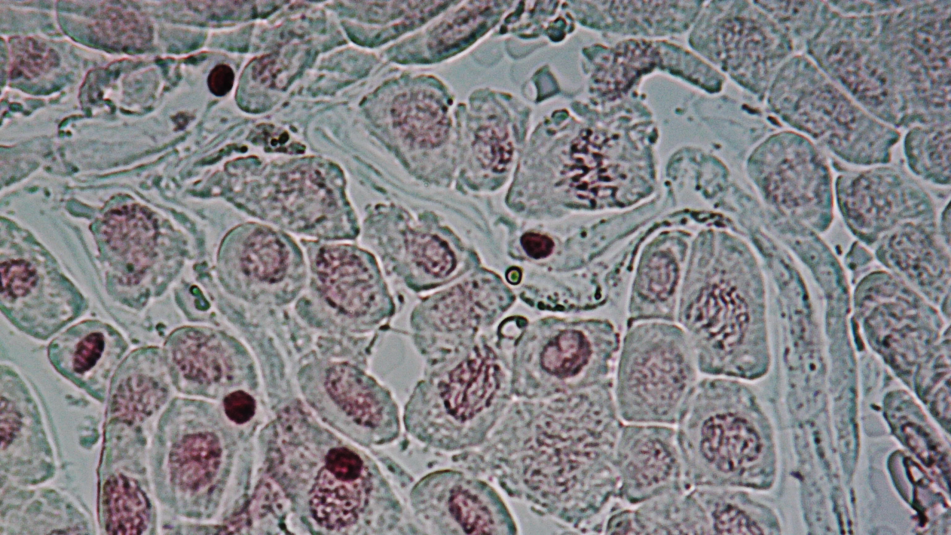
インキュベーターの設定温度を2℃上昇させたときの細胞分裂の様子
その他の写真を一括ダウンロードする(132.7MB)
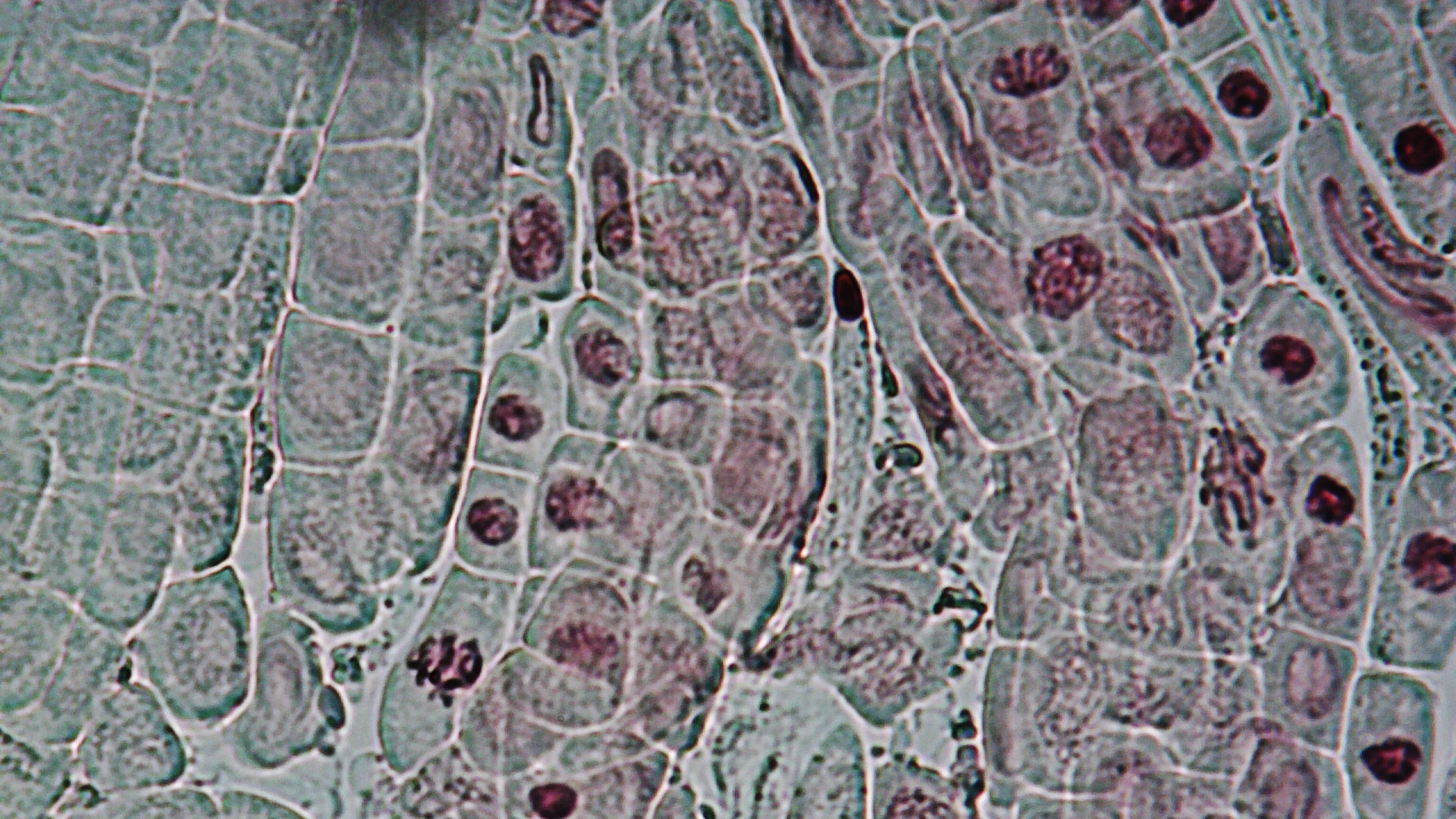
インキュベーターの設定温度を4℃上昇させたときの細胞分裂の様子
その他の写真を一括ダウンロードする(93.2MB)
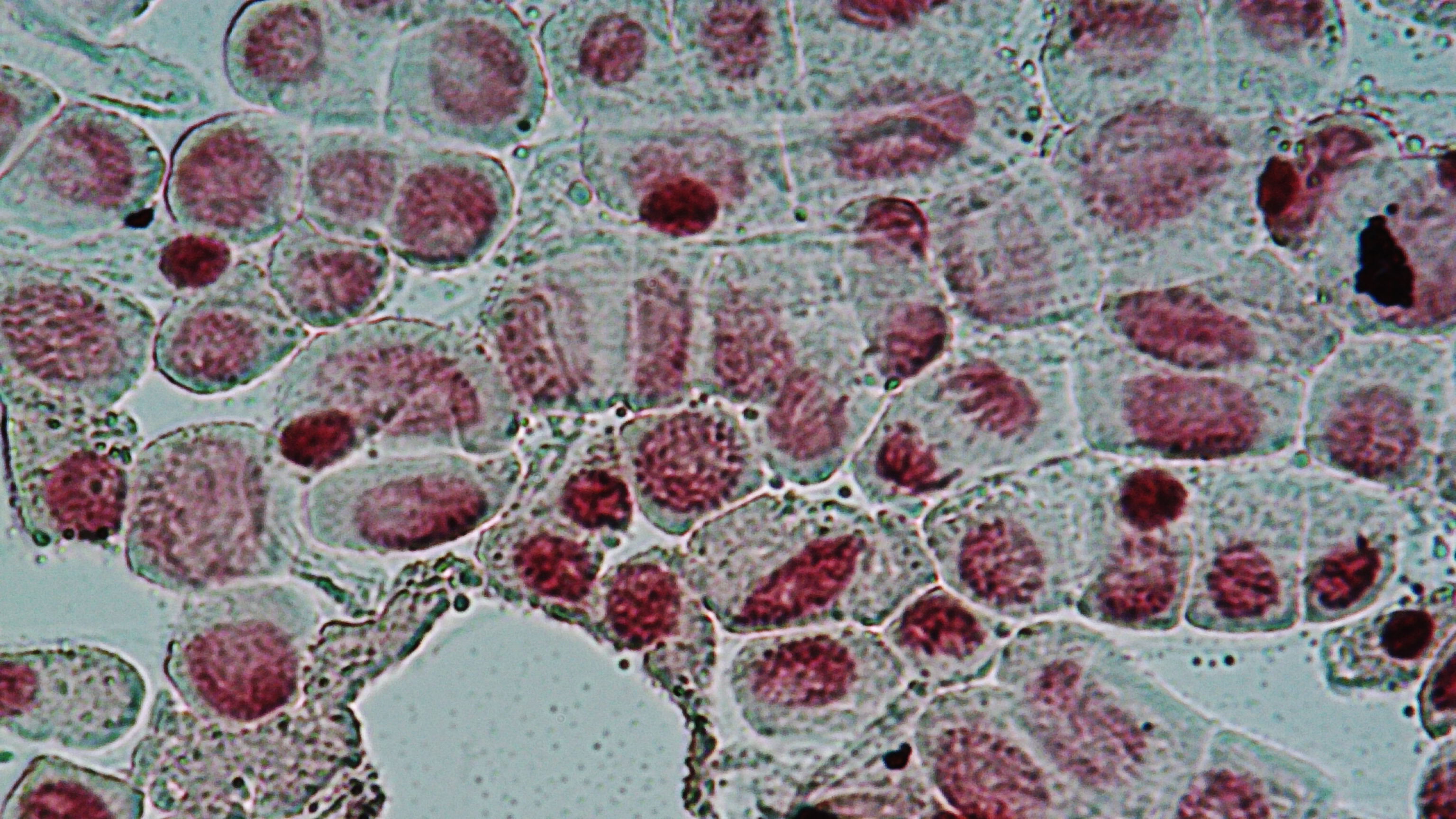
インキュベーターの設定温度を2℃下降させたときの細胞分裂の様子
その他の写真を一括ダウンロードする(57.1MB)
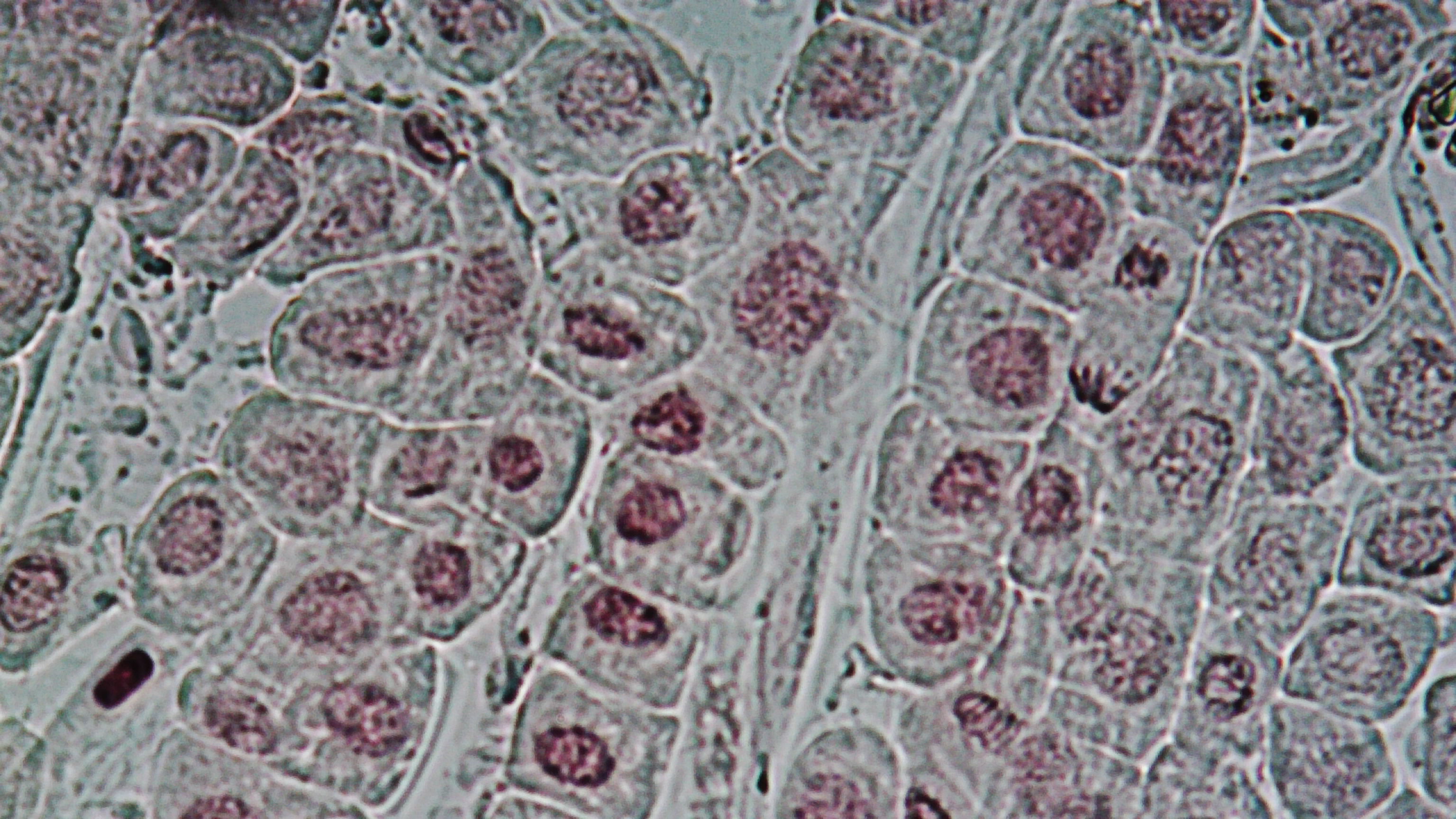
インキュベーターの設定温度を4℃下降させたときの細胞分裂の様子
その他の写真を一括ダウンロードする(36.6MB)
米酢により固定後、48時間が経過した細胞のようす
その他の写真を一括ダウンロードする(69.6MB)
トップページ
会長挨拶
研究のあゆみ
2024年度 事業報告等
2025年度 事業計画等
研究総会
研究発表大会
実技講習会
奈中理通信
指導資料集
奈良県中学校理科教育研究会事務局
天理市立北中学校内
〒632-0011
奈良県天理市石上町777
TEL 0743-65-0117
FAX 0743-65-3840